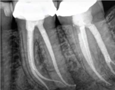
January 4, 2026 Service 0 Waa maxay dhuux daawayntu(Root Canal Treatment)? Dhuux daawayntu waa hab lagu daweeyo iligga marka uu suusku ama jabniinku gaadho dhuuxa ama neerfaha iligga kusoo jira. Sidoo kale kolka uu iliggu infection sameeyo.